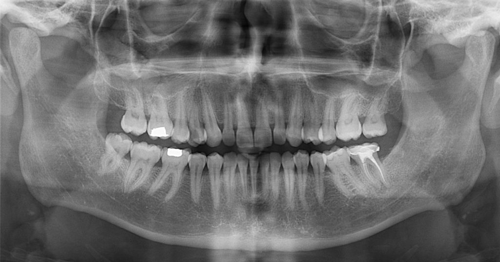
🦷 Radiografías Digitales Extraorales

Imágenes panorámicas de alta resolución para una visión integral.

Contamos con equipos digitales de rayos X de última generación, que permiten obtener estudios extraorales precisos, rápidos y con excelente definición. Estas imágenes son clave en ortodoncia, cirugía, ATM y otras especialidades.

Plazo y modalidad de entrega de los estudios:

Los estudios se entregan en formato digital, especialmente adaptado para su utilización en ámbitos clínicos o académicos, según corresponda.

Las radiografías simples se entregan en el momento de su realización, salvo aquellos casos que requieran informe profesional.

tipo de estudios disponibles::

  • Panorama Digital (OPG)
  • Serie ATM
  • Senos paranasales (FNP y MNP)
  • Telerradiografías de frente y perfil
  • Radiografía carpal para edad ósea

Sucursal Caballito

Sucursal Liniers

Sucursal Palermo

Scroll al inicio